





-

- クリーンレベルの高い完全個室のオペ室
- 清掃の専門スタッフが常時清潔を維持

-

- ゲスト同士が会わない動線を確保
- 郵送物はスタッフの個人名で送付

-

- カウンセリングは納得できるまで対応
- 施術の可能性と限界を分りやすく説明

-

- 事前のエコー検査で異常の有無を確認
- 異常が見つかった場合は即報告&対応

-

- 安全で低負担な麻酔の使用
- 麻酔科専門医による技術共有

-

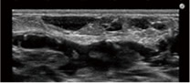
- エコー検査で脂肪の定着をチェック
- 豊胸の成果を視覚化して共有

-

- 術後の不安はLINEで個別に相談可能
- マイアカウントに術後ケア情報を配信

もっと読む▼











| 一般価格(税込) | モニター価格(税込) | |
|---|---|---|
| 初回ドクター カウンセリング |
無 料 | |
| 授乳後バストメイク | ¥1,780,000(¥1.958,000) | ¥864,000(¥950,400) |
| <施術金額に含まれるもの(下記は別途ご請求いたしません)>
|
||
※自由診療です。※上記の施術は全て保険適応外です。
お支払い方法は以下の4種類をご用意しております。併用していただくことも可能です。詳しくはコンシェルジュからご案内いたします。
- 現金
-
- デビットカード
- ご利用可能金額は50万円まで
-
- クレジットカード
-
VISA、MasterCard、JCB、American Express、Diners、DISCOVER、銀聯※事前に限度額をご確認ください

-
- 医療ローン(分割払い)
- 医療ローンは、定められた利用可能額の範囲内で、治療費を分割できるサービスです。月額¥5,000〜で施術がお受けいただけます。※ご利用回数と月々のお支払い額は、審査によって異なりますので、詳しくはお問い合わせください。
- <お申し込みに必要なもの>
-
- 身分証明書(下記、いずれかをご用意ください)
運転免許証・パスポート・健康保険証のいずれか1点
金融機関発行のクレジットカード、またはキャッシュカードのいずれか2点
- 銀行通帳(郵便口座可)
- 銀行届出印鑑
- 身分証明書(下記、いずれかをご用意ください)
THE CLINIC では、麻酔代の別請求を追加で請求することはございません。中には、局所麻酔で施術を行うクリニックもありますが、当院ではゲストの心理的負担や快適性を考慮して、静脈麻酔を採用しています。在籍する麻酔科専門医の指導のもと、徹底された安全管理を行っていますので、途中で目覚めるご心配はございません。固定の装着も含む全ての工程が終了した段階で、あなた専用のリカバリールームで目覚めます。
THE CLINIC では、術後も安心してお過ごしいただけるよう、さまざまなアフターケアサービスをご用意しております。
専用のマイアカウントを発行
LINEと連携しているマイアカウントから経過に合わせて、ご自宅でおこなっていただけるマッサージ方法など、術後のケア情報を配信します。
LINE相談窓口を設置
ダウンタイム中の不安な症状がありましたらLINE窓口よりご相談ください。担当医やスタッフが個別にお答えいたします。
お薬の追加処方
痛み止めや傷跡が残りやすい方への塗り薬など、必要なケア用品は全て追加費用なく手配させていただいております。

THE CLINIC には、県外・海外など遠方からお越しのお客様が多くいらっしゃいます。そこで、交通費の全額または一部を補助させていただくサービスを行っています。 ご検討中の方は是非ご活用ください。※ 正規価格にてお申し込の方限定

![]()
「脂肪」を活用したボディデザインを得意とする、
美容外科クリニック。
全国5拠点で展開しています。

ドクター紹介
今西 理也Masaya Imanishi

大学病院を中心に、形成外科、美容外科医として、遊離皮弁を用いた頭頚部再建、乳房再建、眼瞼周囲の手術等で数多くの執刀、指導経験を持つ。15年以上にわたって積み重ねた形成外科領域での経験が、脂肪吸引や脂肪注入による豊胸、エイジング治療でいかんなく発揮されている。
経歴
-
- 1979年
- 東京都生まれ
-
- 2005年
- 金沢大学医学部 卒業
-
- 2007年
- 東京大学 形成外科・美容外科 入局
-
- 2009年
- 自治医科大学 形成外科 入職
-
- 2011年
- 獨協医科大学 形成外科・美容外科 入職
-
- 2015年
- 足利赤十字病院 形成外科 副部長 就任
-
- 2020年
- 獨協医科大学 形成外科・美容外科 講師 就任
-
- 2021年
- THE CLINIC 入職
-
- 2024年
- THE CLINIC 名古屋院 院長 就任
-
- 2025年
- THE CLINIC 東京院 院長 就任
- 日比谷線六本木駅 徒歩 15分
- 広尾駅 徒歩 10分
- 住所
- 〒460-0002
愛知県名古屋市中区丸の内
3-22-24名古屋桜通ビル 1F
- 診療時間
- 10:00 - 19:00
年中無休/完全予約制
- お問合せ
- +81-52-955-8366(海外からの電話)
ドクター紹介
帯包 雄次郎Yujiro Obikane

東京科学大学(旧・東京医科歯科大学)を卒業後、脳神経外科医として首都圏の病院に勤務。その後、ピッツバーグ大学の研究員として渡米。 正確かつ緻密な技術が求められる脳神経外科医の経験は、繊細な手技を要する脂肪吸引や脂肪豊胸、エイジング治療でもいかんなく発揮される。
経歴
-
- 1978年
- 香川県生まれ
-
- 2002年
- 東京科学大学(旧・東京医科歯科大学) 卒業
-
- 2002年
- 東京科学大学病院 脳神経外科 入職
-
- 2006年
- 亀田総合病院 脳神経外科 入職
-
- 2012年
- ピッツバーグ大学 脳神経外科 研究員 入職
-
- 2013年
- 亀田総合病院 脳神経外科 入職
-
- 2017年
- 葛西昌医会病院 脳神経外科 入職
-
- 2019年
- 共立美容外科 入職
-
- 2020年
- 共立美容外科 池袋院院長 就任
-
- 2022年
- THE CLINIC 入職
-
- 2025年
- THE CLINIC 名古屋院 院長 就任
- 地下鉄桜通線 丸の内駅 徒歩4分
- 地下鉄桜通線 久屋大通駅 徒歩3分
ドクター紹介
安部 光洋Mitsuhiro Abe

東京大学医学部を卒業後、手術一筋20年、がん手術を中心に5,000例以上手術を行ってきた。生活を豊かにするような治療で役に立ちたいと考えるようになり、美容外科医への転身。これまで培ってきた手術経験を生かし、脂肪吸引や豊胸、繊細なエイジング治療など、幅広い領域で活躍している。
経歴
-
- 1976年
- 愛知県生まれ
-
- 1995年
- 東京大学理科3類 入学
-
- 2001年
- 東京大学医学部 卒業
-
- 2006年
- 虎の門病院 泌尿器科 入職
-
- 2011年
- NTT東日本関東病院 泌尿器科 入職
-
- 2016年
- NTT東日本関東病院 前立腺センター センター長 就任
-
- 2021年
- THE CLINIC 入職
-
- 2021年
- THE CLINIC 福岡院副院長 就任
-
- 2024年
- THE CLINIC 大阪院・福岡院 院長 就任
- JR大阪駅 徒歩1分
ドクター紹介
木村 圭吾Keigo Kimura

外科医として約25年間、幅広い領域で経験を重ねてきたドクター。携わってきた手術件数は1万件を超え、がんの摘出、腎臓や肝臓の移植、外傷、内視鏡、救急など多岐にわたる。ゲストのご希望に技術力と安全性の高い施術で応えることをモットーに、診療にあたっている。
経歴
-
- 1968年
- 徳島県生まれ
-
- 1994年
- 岡山大学医学部 卒業
-
- 1994年
- 岡山大学病院 心臓血管外科 入局
-
- 1994年
- 国立岡山病院 外科 入職
-
- 1996年
- 広島市民病院 心臓血管外科 入職
-
- 1997年
- 岡山大学病院 第一外科 入局
-
- 1997年
- 鳥取市立病院 外科 入職
-
- 2001年
- 岡山大学医学部大学院研究生としてがん遺伝子解析の研究に従事
-
- 2004年
- 香川労災病院 外科 入職
-
- 2008年
- 医学博士学位取得(岡山大学)
-
- 2019年
- THE CLINIC 入職
-
- 2019年
- THE CLINIC 副院長 就任
-
- 2021年
- THE CLINIC 広島院院長 就任
- 広島電鉄1号線・宇品線 立町駅 徒歩1分
- 広島電鉄本線・宇品線 紙屋町東駅 東口から徒歩3分
- 広島電鉄本線・白島線 八丁堀駅 徒歩4分
- アストラムライン 県庁前駅 徒歩5分
- 住所
- 〒810-0021
福岡県福岡市中央区今泉 1-22-18
アクロスキューブ天神南 5F
- 診療時間
- 10:00 - 19:00
年中無休/完全予約制
- お問合せ
- +81-92-732-3155(海外からの電話)
ドクター紹介
安部 光洋Mitsuhiro Abe

東京大学医学部を卒業後、手術一筋20年、がん手術を中心に5,000例以上手術を行ってきた。生活を豊かにするような治療で役に立ちたいと考えるようになり、美容外科医への転身。これまで培ってきた手術経験を生かし、脂肪吸引や豊胸、繊細なエイジング治療など、幅広い領域で活躍している。
経歴
-
- 1976年
- 愛知県生まれ
-
- 1995年
- 東京大学理科3類 入学
-
- 2001年
- 東京大学医学部 卒業
-
- 2006年
- 虎の門病院 泌尿器科 入職
-
- 2011年
- NTT東日本関東病院 泌尿器科 入職
-
- 2016年
- NTT東日本関東病院 前立腺センター センター長 就任
-
- 2021年
- THE CLINIC 入職
-
- 2021年
- THE CLINIC 福岡院副院長 就任
-
- 2024年
- THE CLINIC 大阪院・福岡院 院長 就任
- 地下鉄天神南駅 徒歩4分
- 地下鉄天神駅 徒歩7分
- 西鉄福岡(天神)駅 徒歩3分







![THE CLINICが提供する、授乳後豊胸 [ ビフォー/アフター ]](https://www.theclinic-breastbeauty.com/landing/after_breastfeeding/img/case_title.gif)














![THE CLINIC 授乳後バストメイク豊胸 [東京・名古屋・大阪・横浜・福岡]](https://www.theclinic-breastbeauty.com/landing/after_breastfeeding/img/cv_title.png?v=2)
![THE CLINICが提供する、授乳後豊胸 [ 当院のこだわり ]](https://www.theclinic-breastbeauty.com/landing/after_breastfeeding/img/commitment_title.gif)
![THE CLINICが提供する、授乳後豊胸 [ 選ばれる理由 ]](https://www.theclinic-breastbeauty.com/landing/after_breastfeeding/img/factor_title.gif)












![THE CLINICが提供する、授乳後豊胸 [ 料金・お支払い方法 ]](https://www.theclinic-breastbeauty.com/landing/after_breastfeeding/img/price_title.gif)




![THE CLINICが提供する、授乳後豊胸 [ よくある質問 ]](https://www.theclinic-breastbeauty.com/landing/after_breastfeeding/img/qa_title.gif)





![THE CLINICが提供する、授乳後豊胸 [ クリニック紹介 ]](https://www.theclinic-breastbeauty.com/landing/after_breastfeeding/img/clinic_title.gif)






